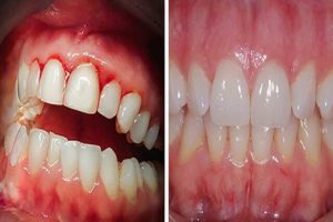
چگونه رژیم مدیترانهای سلامت لثه را تقویت میکند؟
وقتی صحبت از سلامت دهان و دندان میشود، کمتر کسی رژیم غذایی را بهعنوان عامل اصلی در نظر میگیرد. اما پژوهشی از کالج کینگ لندن نشان داده است که انتخابهای روزانه غذایی میتواند به کاهش التهاب لثه و پیشگیری از پریودنتیت کمک کند. در این مطالعه، ۲۰۰ نفر از شرکتکنندگان با معاینه دندانپزشکی و اندازهگیری … ادامه خواندن چگونه رژیم مدیترانهای سلامت لثه را تقویت میکند؟
برای جاسازی نوشته، این نشانی را در سایت وردپرسی خود قرار دهید.
برای جاسازی این نوشته، این کد را در سایت خود قرار دهید.